Skip to Content
Top

Cartiva Big Toe Joint Implant Complications

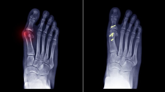
Foot xray
|

Some patients who have complications from a big toe implant may actually be suffering due to the type of implant used in the surgery. The Cartiva Big Toe Joint implant has been used in recent years as an option to toe fusion surgery when treating the painful conditions of hallux rigidus, hallux limitus, and osteoarthritis in the big toe. Concern has arisen recently with medical studies and/or surgical results showing that the Cartiva implant may only be effective in about half of the cases. Failures appear to be due to a defect in the design of this synthetic cartilage implant. These Cartiva implant failures often result in patients undergoing a revision surgery to remove the device. Sometimes multiple surgeries are required toward the goal of reversing problems from the implant failure.

Cartiva FDA Approval

The Cartiva implant was developed by Cartiva, Inc. The implant was created to resemble the bone cartilage in the big toe by using a synthetic material, hydrogel, which is also used in contact lenses. This design was supposed to give the patient more mobility and greater pain relief than toe fusion surgery. Cartiva was approved by the Food and Drug Administration in 2016 for treatment of degenerative arthritis or post-traumatic arthritis in the first metatarsophalangeal joint of the big toe. The request for FDA Approval submission included studies from more than 200 patients in the UK and Canada advising the FDA that satisfaction rates were in excess of 85%, and documented shorter procedure times, shorter recovery times, and more range of motion than those achieved through a toe joint fusion.

Cartiva Inc. was acquired by Wright Medical Group in 2018. In 2020, Stryker acquired Wright Medical Group. To date, Stryker is still marketing the Cartiva devices.

Post-Operative Side Effects of Cartiva Big Toe Joint Implant

Doctors largely welcomed Cartiva after its FDA approval. The procedure was relatively simple and took less time to perform the traditional fusion surgery. However, skepticism began to arise when doctors saw patients having post-surgery issues such as:

  • Device slippage
  • Increased pain
  • Decreased range of motion
  • Subsidence (implant sliding into the bone)

It is feared by many that the smoothness of the hydrogel-based implant may be permitting the device to sink into the bone. The durability of the device has also come into question. University Foot and Ankle in Santa Monica has seen a nearly 50% failure rate of the device in patients.

Patients experiencing any of these symptoms after a Cartiva Big Toe Joint Implant surgery should contact their doctor. The surgeon can help to identify the source of the complications and offer alternatives to Cartiva and a plan to remedy the complications.

Cartiva Lawsuits

Revision surgeries (to remove the Cartiva implant and/or take other action) are time-consuming, costly, and painful. If you have had a Cartiva device replaced within the first few years of the initial implant, or if your doctor is recommending an early removal/revision surgery, you may want to consult an attorney and find out more about lawsuits involving Cartiva. Brett Oppenheimer is an attorney who has successfully helped past clients who suffered physical and financial injury from faulty medical devices such as the Cartiva Big Toe implant. Brett will consult with you on your potential case--free of charge. You can contact Brett at (502)749-5700 or fill out a contact form on this website.

Share To:

Most Recent Posts from October, 2022